1eab Importance of Using Biobanks to Boost Research | The OCRC Tumor BioTrust Collection | Perelman School of Medicine at the University of Pennsylvania
Perelman School of Medicine at the University of Pennsylvania

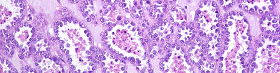
The OCRC Tumor BioTrust Collection

banner image

Importance of Using Biobanks to Boost Research

Biobanks play a crucial role in modern research by providing a wealth of biological samples and data that can be used to enhance scientific inquiry. They offer a range of sample collections, from large national databases to bespoke collections, which can significantly boost research efforts. Biobanks are essential for creating biobanks, validating results, and addressing the challenges of data security and legalities in shipping biological materials. They also help researchers identify biomarkers for diseases and contribute to personalized medicine by providing valuable resources for complex diseases like cardiovascular disease, cancer, and diabetes. Biobanks are vital for improving population health and making medicine more effective and customized for each individual. 

 

Using biobanks to boost research: a how-to guide

7 0